کیست هیداتیک ریه و کبد و چیست و چه علایمی دارد
دلیل ابتلا به کیست هیداتیک چیست؟ چگونه باید آن را تشخیص داد؟ روش های درمانی آن چگونه است؟
دوات آنلاین -کیست هیداتیک بیماری ناشی از لارو انگل اکینوکوکوس است. طبق آزمایشات و مطالعات انجام شده یکی از بیماری هایی که میان انسان و دام مشترک است همین بیماری است. انگل بالغ این بیماری در روده سگ و نوزادان آن وجود دارد و به بدن انسان و حیوانات اهلی وارد می شود. برای تشخیص و درمان این بیماری بهترین و تنها راه درست و اصولی مراجعه به پزشک است.
خطر ابتلا به کیست هیداتیک
بیشتر مناطقی که آلودگی انسان در آن دیده می شود فضاهای می باشد که دامداری در آنها رواج دارد، در این گونه مناطق ارتباط میان انسان با دام ها و سگ بیشتر است و همین امر باعث می شود، میزان ابتلای افراد به کیست هیداتیک افزایش یابد. عواملی چون شغل و سن به خوبی می تواند تاثیر زیادی در نقل و انتقال این بیماری داشته باشد. به طور مثال وجود تماس میان کودکان و سگ و بعضی دیگر از مشاغل که میزان تماس در آنها بیشتر است، مانند چوپانی، دباغی یا کشاورزی به خوبی می تواند در خطر ابتلا به این بیماری قرار گیرند.

روش انتقال
به علت زندگی انگل اکینوکوکوس در روده سگ، دفع تخم های آن سبب می شود تا آب و خاک آن منطقه نیز دچار آلودگی شود، بنابراین حیواناتی چون بز، گاو، شتر که در آن مناطق زندگی می کنند، هنگام چریدن با خوردن این تخم آلوده می شوند.
در این میان انسان نیز به واسطه خوردن غذا یا آب آلوده به تخم ها و یا همچنین از طریق تماس مستقیم با حیواناتی چون سگ که آلوده به آن می باشند به انگل آلوده می شود.
سپس انگل وارد شده به بدن انسان که ورود آن از طریق بلع صورت گرفته، وارد سیستم خونی کبد و ریه ها می شود و به بافت های دیگر نیز انتقال پیدا می کند.
کیست هیداتیک با بدن چه می کند
در نواحی با میزان شیوع بیشتر، اغلب کودکان به این بیماری مبتلا می شوند اما این کیست ها برای علامت دار شدن و دیده شدن نیاز به زمان بیشتری دارند.
این کیست می تواند همه قسمتهای بدن را در بر بگیرد اما میزان ابتلای کبد ۶٠ تا ٧٠ درصد می باشد و پس از آن ریه و مغز در خطر ابتلا هستند.
آزمایشات صورت گرفته بیشتر نشان از آن دارند که کمتر از ٢ درصد این کیست وارد مغز شده و مبتلا بودن سایر اعضا چون طحال، عضله و ابتلای چند ارگانی کبد و ریه یا کبد و طحال_ ریه و مغز نیز گزارش شده است.
کیست هیداتیک به میزان خیلی کم در اندام هایی چون قلب، تیروئید، پستان، کلیه و بافت نرم گردن و مهره وجود دارد. در افراد بالغ بیشترین میزان از کیست هیداتیک در کبد پیدا می شود، اما این کیست در کودکان و تعداد بیشتری از افراد بالغ در ریه و مغزشان دیده می شود.

علایم کیست هیداتیک
پس از اینکه تخم انگل وارد بدن شود می تواند هر اندامی را محل به وجود آورنده کیست تبدیل کند و بسته به اینکه کیست در چه اندامی ایجاد شده سبب بروز اختلال در عملکرد آن می شود، باید بدانید که کیست های ریوی و کبدی معمولاً شایع تر هستند.
این کیست برای نشان دادن علائم خود دارای دوره های متفاوتی می باشد، مثلاً دوره کمون آن ممکن است بین ۵ تا ٢٠ سال طول بکشد و در بیشتر موارد سال ها طول می کشد تا این بیماری می تواند علامت دار شود و خود را نشان دهد بعضی وقت ها کیست های هیداتیک خود به خود می تواند بهبود پیدا کند. و یا اینکه بعد از سال ها به علت بزرگ شدن و ایجاد اثر فشاری بیمار احساس درد شکمی یا بی اشتهایی یا احساس توده شکمی میکند.
در کیست های مربوط به کبد ما می توانیم علائمی چون بزرگی کبد، قولنج کبدی و زردی را مشاهده کنیم.
کیست هیداتیک ریه علائمی چون سرفه، درد قفسه سینه، خلط های خونی و تنگی نفس را به دنبال دارد .
این کیست در مغز می تواند سبب اختلال عصبی، تاری دید یا لرزش شود.
کیست هیداتیک در کلیه با علائمی چون سوزش ادرار و وجود خون در ادرار خود را نشان می دهد. در قلب ممکن است سبب ایجاد تنگی نفس و اختلال عمل یا تپش قلب شود.
آیا کیست هیداتیک خطرناک است
در پاره ای از موارد ممکن است که ضربه های شدید سبب پاره شدن این کیست شود و محتویات آن وارد خون شده و باعث به وجود آمدن شوک شود که همین عامل خود سبب پایین آمدن سریع فشار خون و مرگ در یک بیمار می گردد.
همچنین این بیماری در موارد شوک آنافیلاکسی و یا در موارد درگیری قلبی و ایجاد تامپوناد قلبی می تواند کشنده باشد. این بیماری در مواردی نادر می تواند با درگیری اعضایی چون مغز، چشم، استخوان وعضلات ایجاد علائم جدی مانند کوری و فلج را سبب شود.

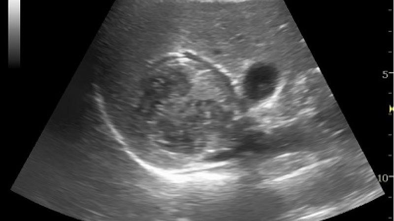
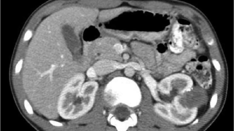
روش های تشخیص کیست هیداتیک
تشخیص کلینیکی
این بیماری عفونی می تواند توسط پزشک با گرفتن مواردی چون شرح حال تاریخچه و همچنین علائم بالینی چون اتساع شکم اقامت، در منطقه اندمیک، سابقه تماس با سگ و غیر شناسایی شود .
تشخیص آزمایشگاهی
در این مرحله بیماری با استفاده از تست هایی نظیر تشخیصی و افتراقی و روش های رادیوگرافی، سونوگرافی و سی تی اسکن شناسایی شود.
درمان کیست هیداتیک
این بیماری به علت میزان انتشار و همچنین محدود نبودن حدودش می تواند درمانی همراه با مشکل داشته باشد. درمواردی که تعداد این کیست ها کوچک و همچنین کم هستند، می توانیم با استفاده از داروهایی چون مبندازول و البندازول سبب بهبودی این بیماری شویم. اما باید توجه داشت که در همه موارد این داروها جوابگو نیستند ولی آنچه که به خوبی روشن است این موضوع است که این داروها می تواند سبب کوچکی اندازه کیست شوند و با توجه به اینکه تنها درمان قطعی این بیماری جراحی می باشد می تواند خطر جراحی را به حداقل برساند
کنترل و پیشگیری
روش های کنترل و پیشگیری از این بیماری شامل موارد زیر می شود:
رعایت بهداشت فردی و محیط
شستشو و تمیز کردن سبزیجات
محصور نمودن مزارع کشت سبزیجات
نداشتن تماس با سگ سانان
بهبود سگ های آلوده صاحب دار
از بین بردن سگ های ولگرد
کشتار دام در کشتارگاه های بهداشتی
کشتار دام در سنین پایین تر
دفع بهداشتی امعا و اعشاء آلوده
عدم تغذیه سگ ها با مانده امعا و اعشای کشتارگاهی
به وجود آوردن راه های آموزش همگانی در مورد راه های انتقال و انتشار بیماری
12jav.net