تخمدان پلى کیستیک؛ علایم، عوارض و راه درمان از زبان یک متخصص
جراح و فلوشیپ زنان زایمان و ناباروری همه آنچه درباره تخمدان پلى کیستیک باید بدانید را توضیح داده و درباره نشانه ها و راه های درمان این مشکل گفته است.
دوات آنلاین -اختلال قاعدگی، چاقی و موهای زاید صورت و در مواردی ناباروری، از ابتلا به سندرم تخمدان پلی کیستیک خبر میدهد. سندرمی که در واقع، یک بیمارى پیچیده هورمونى در زنان است که با تولید ناکافى هورمونهاى زنانه (استروژن) و تولید بیش از حد هورمونهاى مردانه (آندروژن) همراه است. اما خطر بسیار مهمتر و خطرناکتر از آنچه گفته شد، بروز سندرم متابولیک یعنی عوارض قلبی، دیابت، توده بدنى بالا، چاقى دور شکمى، فشار خون و چربى خون بالا در نزدیک به ۷۰درصد از خانمهای مبتلا به تخمدان پلی کیستیک است. به همین علت درمان تخمدان پلی کیستیک که فقط با اصلاح سبک زندگی نیز ممکن است از حیث حفظ و تداوم سلامت دختران یا زنان مبتلا اهمیت زیادی دارد. از همین رو جام جم با دکتر فرناز منتظری، جراح و فلوشیپ زنان زایمان و ناباروری و عضو تیم تخصصی مرکز فوق تخصصی درمان ناباروری ابن سینا گفتوگو کرده است.

نشانه های تخمدان پلی کیستیک
*معمولا تخمدان پلی کیستیک با چه نشانهها و عوارضى و از چه سنی بروز میکند؟
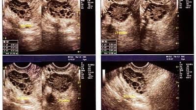
تخمدانهای پلی کیستیک سه فاکتور دارد که شامل تخمدانهای پر کیست، قاعدگی نامنظم و موهای زائد صورت میشود.ممکن است فردی تخمدان پلی کیستیک داشته باشد ولی دو نشانه دیگر را نداشته باشد. معمولا باید بهدنبال قاعدگی نامنظم و موهای زائد به پزشک مراجعه کرد. ما انتظار داریم در سنین اول پس از بلوغ قاعدگیها نامنظم باشد، ولی از سنین ۱۶ تا ۱۷ سال به بعد بروز قاعدگی نامنظم باید از حیث تخمدان پلی کیستیک بررسی شود.
* چرا گفته میشود بسیارى از خانمهاى جوان از ابتلا به این بیمارى در خود بى اطلاع هستند؟
تخمدان پلی کیستیک لزوما بیماری تلقی نمیشود. تخمدانهای پلی کیستیک وقتی مشکل دار میشود که قاعدگی نامنظم، موهای زائد صورت و مشکلات باروری را نشان بدهد. در واقع همه خانمهای جوان نیاز نیست خودشان را از حیث این بیماری چک کنند. مگر اینکه در خانواده فرد، عوامل خطرزایی مثل چاقی، سندرم متابولیک یا ناباروری وجود داشته باشد.
بیشتر بخوانید: کیست هموراژیک چیست؛ علایم و روش درمان
* آیا لزوما تخمدان پلی کیستیک با مشکلات متابولیک از جمله چاقى، دیابت و فشار و چربى خون همراه خواهد بود؟
برخی از مبتلایان به تخمدان پلی کیستیک علائم خاصی ندارند، نابارور هم نیستند و صرفا چاق هستند. با این حال یکی از علتهای مهمبودن تخمدان پلی کیستیک و شاید یکی از دلایل غربالگری، ارتباط این بیماری با سندرم متابولیک است. سندرم متابولیک با شاخص توده بدنی بالا، چاقی دور شکم، چربی و فشار خون بالا همراه است. با توجه به اینکه مبتلایان به سندرم متابولیک با خطر ابتلا به بیماریهای قلبی عروقی و دیابت مواجه هستند، غربالگری زنان و اصلاح سبک زندگی، نوع تغذیه و کاهش وزن در مبتلایان به تخمدان پلی کیستیک بسیار مهم است.

درمان های تخمدان پلی کیستیک
* بهترین زمان درمان و مؤثرترین روشهاى درمان این بیمارى چه هستند؟
اصلاح سبک زندگی و چاقی بهترین روش درمان تخمدان پلی کیستیک است. گرفتن مشاوره غذایی برای این بیماران ضروری است؛ رژیمیکه تخمدانها را فعال نگه دارد، قاعدگی را منظم کند و جلوی بروز دیابت را بگیرد. رژیم غذایی در این بیماری فقط مختص چاقی نیست. باید ببینیم فرد مبتلا با چه عارضهای مراجعه کرده و روش درمان بسته به مشکلات فرد متفاوت است.
تخمدان پلی کیستیک و بارداری
* آیا لزوما مبتلایان با اختلالات بارورى روبهرو میشوند؟
خیر. ولی عدم تخمک گذاری مزمن از شایعترین علل ناباروری است که در مبتلایان به تخمدان پلی کیستیک دیده میشود.
بیشتر بخوانید: علائم مهم مشکل تیروئید در زنان
* باردارى با وجود این بیمارى ممکن است اتفاق بیفتد؟
بله این امکان وجود دارد. بسیاری از مادران باردار که ناباروری هم ندارند، اختلال قاعدگی دارند. کسانی را هم داریم که بهدنبال این بیماری نابارور میشوند. این افراد نیازمند درمان با اصلاح سبک زندگی و دارو هستند.
* کسانى که زمینه خانوادگى براى ابتلا به این بیمارى را دارند چه مراقبتهایی را باید رعایت کنند؟
زمینه خانودگی سندرم متابولیک مهمترین مسألهای است که در مبتلایان به تخمدان پلی کیستیک باید تحت مراقبت قرار بگیرد. افرادی که در خانواده زمینه ابتلا به چاقی، دیابت و دیابت بارداری را دارند حتما باید هر دو سال یکبار تست تحمل گلوکز برای پیشگیری از دیابت بدهند. کسانی که در خانواده زمینه تخمدان پلی کیستیک دارند باید حتما برای اصلاح تغذیه اقدام کنند و وضعیت چربی و فشار خونشان بهصورت دورهای بررسی شود. این افراد حتما باید آزمایشهای هورمونی، تیرویید، پرولاکتین، تست تحمل گلوکز، بررسی چربی و تستسترون سرم انجام دهند تا اگر در آستانه دیابت یا چربی خون بالا باشند درمان شوند. هدف ما این است که جلوی ابتلا به دیابت و بیماریهای قلبی و عروقی در این افراد گرفته شود.
* رعایت رژیم غذایی خاصى را به مبتلایان پیشنهاد میکنید؟
رژیم غذایی برای این افراد صرفا در جهت کاهش وزن نیست. بلکه اصلاح سبک زندگی برای بهبود وضع عروقی، پیشگیری از دیابت و بهبود عملکرد تخمدانها مد نظر است.
12jav.net