کیست هموراژیک چیست و علایم و روش درمان آن چگونه است؟
همه آنچه خانمها باید درباره کیست هموراژیک بدانند در این مطلب آمده است.
دوات آنلاین- کیست هموراژیک در خانم هایی که هنوز به یائسگی نرسیده اند به وجود میآید. این کیست نتیجه تخمک گذاری میباشد.این که چرا بعضی از خانم ها مبتلا به این کیست هموراژیک میشوند و سایر افراد به این کیست هموراژیک دچار نمیشوند، معلوم نمی نیست. معالجه کیست هموراژیک بستگی به اندازه کیست و علائم آن است.
کیست هموراژیک چگونه به وجود میآید
دو تخمدان شما در دو طرف رحم جای دارد، آن ها به اندازه بادام میباشند. تخمک ها نیز در تخمدان ها رویش کرده و بالغ می گردند و طی زمان های ماهانه طی سالهای باروری آزاد می شوند، کیست تخمدان کیسه های مملو از مایع در درون یا این که روی سطح تخمدان میباشد.
کیست هموراژیک در طی تخمک گذاری هنگامی تولید میگردد که تخمک از روش فولیکول تخمدان بر روی سطح آن منتشر میگردد و فولیکول به کیست تبدیل می گردد، متخصصان نمی دانند چرا این اتفاق می افتد.
کیست هموراژیک علائمی دارد؟
داشتن کیست هموراژیک لزوما یک ایراد نمی باشد، در بیشتر موردها این کیست ها علائمی ندارند و اکثر زمان ها طی تست لگنی یافت میشوند.
چنانچه کیست کوچک یا این که متوسط باشد و سبب درد و یا این که علائم دیگر نشود دکتر، آنالیز بر آن را پیشنهاد می نماید، این آنالیز معمولا دربرگیرنده سونوگرافی لگن یک بار در هر چندین ماه می باشد تا اندازه کیست هموراژیک مورد بازنگری قرار گیرد.
به صورت معمول هیچ معالجه دیگری لازم نیست. در اکثری از موردها، کیست هموراژیک در طی چندین ماه خود به به خود نابود میشود.
چنانچه یک کیست هموراژیک بزرگتر از 10 سانتیمتر باشد یا این که باعث درد شود، یا این که حس پری در منطقه لگن یا این که بقیه علامت ها را به همراه داشته باشد، دکتر معالج جراحی برای برداشتن آن پیشنهاد میکند.
بعضی از کیست ها را می توان بدون درآوردن کل تخمدان، بیرون کشید، ولی چنانچه کیست به تخمدان جراحت رسانده باشد و هیچ بافت سالمی باقی نمانده باشد، پزشک معالج تمام تخمدان را بیرون می نماید.
آیا کیست هموراژیک خطرناک است؟
به صورت کلی، کیست های هموراژیک تاثیر منفی بر باروری ندارند، حتی چنانچه نیاز به درآوردن یک تخمدان باشد، تا وقتی که تخمدان دیگر سلامت باقی بماند، میتوانید باردار شوید اما این وضعیت در حالتی است که بقیه مسائل بر باروری اثر نگذارند.
فقط وقتی کیست تخمدان هموراژیک بر باروری تاثیر میگذارد که کیست بر هر دو تخمدان اثر نهاده باشد و احتیاج به جراحی و برداشتن هر دو تخمدان باشد.
هیچ شیوه ثابت شدهای برای دوری از رویش کیست های تخمدان هموراژیک نیست. برخی از شواهد نشان میدهد سرکوب تخمک گذاری با به کارگیری از قرص های ضد بارداری خطر کیست تخمدان را پایین می آورد، ولی این شیوه مدام اثر گذار نمی باشد.
بازنگری منظم لگن روشی مطلوب برای بازنگری تخمدان ها و تغییرات آنها میباشد، در کنار این آزمایشات، به تغییرات چرخه ماهیانه خویش از گزاره علائم نامعمول قاعدگی دقت نمایید.
این علائم عبارتند از درد شدید لگن، حس پری یا این که سنگین در لگن و درد در هنگام ارتباط جنسی یا این که در حین تکان روده.
زمانی که یک فولیکول گرافین برای آزادسازی یک تخمک از هم میپاشد، به یک جسم رنگ زرد تبدیل میشود. جسم زرد رنگ به وسیله یک لایه از سلول های گرانولوزای که دارنده رگ هستند، پوشانده شده است. بعضی از این رگ های نازک دیواره میتوانند پاره شوند، این قضیه باعث خونریزی در جسم رنگ زرد و سبب تشکیل کیست هموراژیک میشود.

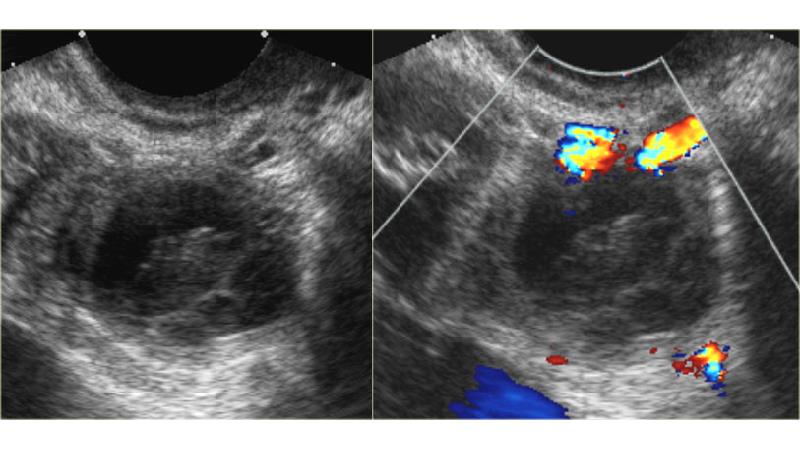
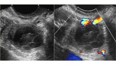
ظواهر کیست هموراژیک در سونوگرافی
ظواهر کیست تخمدان هموراژیک بستگی به مرحله تشکیل و بازه دوره تشکیل کیست است. کیست میتواند یکی از صورت های پایین را داشته باشد.
الگوی رتیکل ریز
این کیست معمول ترین گونه کیست تخمدان هموراژیک میباشد. رشته های نازک فیبرین ظواهر شبکه ای تولید میکنند، این وضعیت الگوی رتیکل نامیده میشود.
ظواهر لخته ای
مراحل شکل گیری لخته و کیست تخمدان هموراژیک باعث تشکیل یک لخته مثلثی در بخشی از کیست می گردد و مایع سرمی اشباع باقیمانده کیست را لبریز می نماید.
سطح سیال باقیمانده در کیست هموراژیک
شکل دیگر کیست که در سونوگرافی مشاهده می شود مایع باقیمانده داخل کیست میباشد، این باقی مانده به وسیله رسوب یا این که عنصرهای ریز در درون کیست تخمدان هموراژیک تشکیل می گردد.
پاره شدن کیست تخمدان هموراژیک
ظواهر غیر معمول تولید شده ناشی از پاره شدن کیست تخمدان هموراژیک سبب تولید خون در درون لگن می گردد.
این موقعیت به طور مایع اکوژنیک اطراف کیست و رحم است، چنانچه خونریزی شدید باشد، امکان دارد هموپریتونیوم خون داخل کیسه موریس مشاهده شود. این صورت پاره شدن مشابه بارداری خارج از رحمی است.
کیست تخمدان هموراژیک مشابه یک نئوپلاستیک تخمدانی جامد میباشد
شکل دیگری از کیست هموراژیک که مواد اکوژنیک داخل کیست را نمایش میدهد که معمولا در زمان دوره بعد از قاعدگی با تشکیل لخته در درون کیست ظاهر می گردد.
این شکل کیست مشابه نئوپلاسم جامد تخمدان میباشد. معمولا در سونوگرافی بعد از 4 تا 6 هفته تغییرات چشمگیری در کیست هموراژیک مشاهده می شود.
تشخیص تفاوت های اشکال کیست هموراژیک
در بیشتر مورد ها درد لگن وخیم علامت و نماد کیست تخمدان هموراژیک میباشد. این اختلال دربرگیرنده آپاندیسیت وخیم و حاملگی بیرون از رحم میباشد.
دیگر تشخیص های افتراقی مهم دربرگیرنده چرخش تخمدان، PID (بیماری التهابی لگنی) و آدنیت مزانتریک میباشد.
از میان اینها، حاملگی بیرون از رحم مهم ترین بیماری است که شبیه کیست هموراژیک میباشد. تست خون بتای HCG سرمی با بازنگری ظریف ساختارهای آدنکسال میتواند به تشخیص حاملگی بیرون از رحم از کیست هموراژیک یاری دهد.
همینطور تست مثبت بتا هورمون HCG و تست بارداری میتواند به تشخیص بارداری بیرون از رحم از کیست تخمدان هموراژیک پاره گردیده یاری دهد.
داشتن یکیاز این کیست ها بر بضاعت و توان من در بارداری اثر میگذارد؟
کیست ها معمولا بر روی باروری خانم ها اثر نمی گذارد.
به چه شکل می توانیم از کیست هموراژیک دوری کنیم؟
تا به امروز شیوه ثابت شده ای برای دوری از بروز کیست هموراژیک در تخمدان و دیگر کیست ها وجود ندارد. بعضی پژوهش ها نشان میدهند که مصرف قرصهای ضدبارداری که بازدارنده از تخمک گذاری می گردند میتوانند اثرگذار باشند، ولی مدام موثر نیستند.
چه کاری از دست ما ساخته است؟
پیشنهاد میگردد بهطور منظم از طریق سونوگرافی رحم و تخمدان های خویش را تحت کنترل داشته باشید، دراین حالت چنانچه تغییر و تحول کوچکی در رحم و تخمدانها به وجود آید میتوان به سرعت آن ها را تشخیص داد و از بروز بیماریهای حادتر دوری کرد.
در کنار این آزمایشها، به تغییر تحول در سیکلهای ماهیانه توجه کنید، امکان دارد علائمی در این دوران بروز نماید که برای شما سابقه نداشته است.
تغییرات امکان دارد در طول خونریزی، درد در شکم یا این که لگن، احساس پری یا این که بادکردگی در لگن، درد در حین برقراری ارتباط جنسی و یا این که درد در حین دفع مدفوع وجود داشته باشند، چنانچه این تغییرات را دیدید به دکتر معالج مراجعه کنید تا تستهای لازم را برای شما تجویز نماید.
12jav.net