کامپوزیت دندان چگونه است؛ مزایا و معایت و روش انجام
همه آنچه درباره کامپوزیت دندان، مراقبت های بعد از آن، میزان ماندگار و دوام و ... باید بدانید در این مطلب گردآوری شده است.
دوات آنلاین -شکی وجود ندارد که مرتب، سفید و تمیز بودن دندان ها و درخشندگی آنها تاثیر زیادی بر زیبایی افراد دارد و به همین دلیل خیلی ها به دنبال راهکار بادوام، راحت و مناسب برای زیبا کردن دندان های خود هستند. آیا کامپوزیت برای این کار مناسب است؟ این روش چه مزایا و معایبی دارد؟

کامپوزیت دندان چیست
کامپوزیت دندان همان مواد خمیری است که برای پرکردن دندان از آنها استفاده میکنند. این مواد به رنگ دندان هستند و دندانپزشک به صورت مستقیم این مواد را بر روی دندان قرار داده و به آن فرم میدهد و با استفاده از نور این مواد را روی دندان محکم مینماید و در نهایت با ابزار مخصوص دندان را پولیش میدهد تا از نظر رنگ و ظاهر کاملا شبیه دندانهای طبیعی دیده شود.
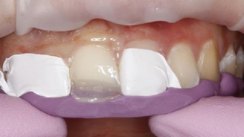
برای این کار ابتدا دندانها را به منظور پاکسازی از جرم میشورند تا سطحی تمیز برای کار گذاشتن کامپوزیت داشته باشند.
پس از شستشوی کامل، دندانها خشک میشود تا عملکرد مواد باندینگ دچار اختلال نشود.
در این مرحله دندانپزشک با استفاده از مواد اسیدی سطح جلوی دندان را متخلخل میکند تا مراحل چسباندن کامپوزیت به دندان بهتر صورت گیرد.
حال نوبت به چسباندن کامپوزیت میرسد. در این مرحله چسبی مخصوص روی دندانها زده میشود و مواد خمیری کامپوزیت روی دندان گذاشته میشود.
تفاوت با لمینت
لمینت دندان یک پروتز سرامیکی است که فقط در جلوی دندان قرار میگیرد و برای نصب باید کمیاز مینای دندان را تراشید و از دندان قالب تهیه نمود و بعد از طی دو الی سه هفته با استفاده از مواد مخصوص در کلینیک دندانپزشکی لمینت به دندان چسبانده شود.
یکی از اصلی ترین تفاوتی که میان کامپوزیت و لمینت وجود دارد میتوان به تغییر رنگی که در لمینت های کامپوزیتی ایجاد می شود اشاره کرد همچنین لمینت های سرامیکی بسیار به ندرت دچار تغییر رنگ و سایش می شوند و از طرفی نیازی به پولیش مداوم و مراقبت های دوره ای نسبت به کامپوزیت ها ندارند.
نکته دیگری که در رابطه با آن میتوان کامپوزیت ها و لمینت ها را مقایسه کرد این است که لمینت های کامپوزیتی مقاومت بسیار کمتری نسبت به لمینت ها داشته و شکننده تر می باشند اما باید بدانید که از لحاظ ظاهری بسیار بهتر از سرامیکی محسوب می شوند.
لمنیت های سرامیکی بسیار نازک تر از کامپوزیت ها می باشند اما نسبت به آنها شفاف تر و طبیعی تر به نظر می رسند.

آشنایی با کامپوزیت ونیر دندان
امروزه نوعی از این کامپوزیت دندانی به نام کامپوزیت ونیر وجود دارد که کاربرد زیبایی آن فراوان است و اکثرا برای قسمت جلویی دندان های که دچار فاصله شده اند و یا دچار لب پریدگی شده اند به کار می رود و چهره افراد با این ابزار زیبایی تغییر قابل ملاحظه ای می کند.
درمان ونیر کامپوزیت موجب زیباسازی دندان و سفید کردن دندان می شود بدون اینکه هیج تراشی بر روی دندان صورت گیرد و در این روش به دندان ها آسیبی وارد نمی شود، گاهی اوقات به این روش ارتودنسی فوری نیز می توان گفت.
اجزای کامپوزیت از ترکیب ذرات فیلر به وجود آمده و دارای مقاومت بالایی است. کامپوزیت ونیر از ترکیبی خمیری مانند تشکیل شده که با امواج نوری با طول موج خاص سفت می شوند و ظاهری زیبا به فرد می بخشند.
بیشتر بخوانید: برای سفید شدن دندان چی استفاده کنیم
نسل جدید کامپوزیت های زیبایی به جز اینکه استحکام بالایی دارند فاقد تخلخل بوده و بسیار عالی پولیش می شوند و طول عمرشان افزایش یافته است. ونیرها ساخته شده از مواد همرنگ دندان هستند که رنگ دندانهای تغییر رنگ یافته را اصلاح می کنند و ایرادهای دندان را برطرف می کنند.
کامپوزیت دندان چه مزایایی دارد
زیباسازی دندان و طرح لبخند
از آنجایی که کامپوزیتها همرنگ دندان هستند، امکان تشخیصشان از دندان طبیعی وجود ندارد و این خود یکی از نقاط قوت استفاده از کامپوزیتهاست.
استحکام دندان
از آنجا که برای نصب نیازی به تراشیدن دندان ندارند و تنها به میزان پوسیدگی از دندان برداشت میشود، سبب استحکام بیشتر دندانها میشود.
بیشتر بخوانید: دلایل بوی بد دهان چیست؟
ترمیم آسان
امکان برداشت و ترمیم این مواد بهآسانی مقدور است. به طوریکه اگر دندان دچار پوسیدگی شود و یا بر اثرفشار وارده به دندان کامپوزیت شکسته شود به راحتی مواد کامپوزیت برداشته شده و مجدد کار گذاشته میشوند.

کامپوزیت چند نوع است
در ادامه با انواع مختلف کامپوزیت دندان آشنا شوید.
کامپوزیت دندان ماکروفیل
کامپوزیت دندان دارای انواع متفاوتی است. کامپوزیت دندان ماکروفیل (درشت دانه) جزء از اولین نوع کامپوزیتها به حساب میآید. کامپوزیت ماکروفیل حاوی ذراتی از 10 میکرومتر تا 50 میکرومتر است. هر کامپوزیت معایب و مزایا خود را دارد. از معایب کامپوزیت دندان ماکروفیل میتوان به سخت و دشوار بودن پولیش سطح ترمیم اشاره کرد اما در عوض ایراد آن، خوب است بدانید این کامپوزیت از مقاومت بسیار بالایی برخوردار است.
کامپوزیت دندان میکروفیل
کامپوزیت دندان میکروفیل (ریز دانه)، از اواخر دهه 70 میلادی وارد دنیا دندانپزشکی شد و به طور گسترده مورد استفاده پزشکان قرار گرفته است. بهتر است بدانید کامپوزیت دندان میکروفیل دارای ذراتی کوچکتر از 100 نانومتر است. این ذرات برای استفاده در دندانهای عقب مناسب نیستند؛ زیرا هنوز به مقاومت کافی برای استفاده در دندانهای عقب نرسیدهاند. از مزیت کامپوزیت میکروفیل نسبت به کامپوزیت دندان ماکروفیل میتوان به سهولت پولیش و سطح ترمیم صاف آن اشاره کرد.
بیشتر بخوانید: آیا باید دندان عقل را بکشیم؟
انواع دیگر
از دیگر انواع کامپوزیت دندان کامپوزیت میتوان به: هیبرید، میکرو هیبرید و نانو هیبرید اشاره داشت. این نوع کامپوزیتها از ذراتی حدود 10 تا 50 میکرومتر و همچنین ذراتی در اندازه حدود 40 نانومتر برخوردار هستند. همچنین، هر دو دسته نانو هیبریدها و میکرو هیبریدها در گروه کامپوزیتهای هیبرید قرار دارند و اندازه ذرات این مواد حدوداً کمتر از 100 نانومتر تا بیشتر از یک میکرومتر است.
از مزیتهای قابل توجه این نوع کامپوزیت میتوان به افزایش مقاومت کامپوزیت در برابر ساییدگی و برخورداری از استحکام بالا اشاره کرد. اما در مقابل معایبی هم دارد از جمله: تخریب رزین بین ذرات به دلیل فرآیند استهلاک. این امر باعث از دست رفتن زیبایی در طول زمان میشود و با گذشت زمان، بر زیبایی چهره و لبخند بیمار تأثیر منفی به جا خواهد گذاشت.
یکی دیگر از انواع کامپوزیت دندان، نانو کامپوزیت دندان است که بیشتر برای برطرف کردن مشکلات هیبریدی ساخته شده است. اندازه ذرات در نانو کامپوزیت دندان، حدود 20 نانومتر تخمین زده میشود.

روش مراقبت از دندان بعد از کامپوزیت
دوام و ماندگاری کامپوزیت های دندان بالا است اما احتیاج به مراقبت های لازم دارد و فرد باید موارد بهداشتی و نیز اصول تغذیه ای را رعایت کند تا عمر کامپوزیت ها را به بیش از 10 سال برساند.
برای مراقبت از دندان ها به صورت مرتب مسواک بزنید.
مسواک به تنهایی قادر به نظافت تمام فواصل بین دندانی نیست پس بهتر است از نخ دندان استفاده کنید.
دقت داشته باشید که خوردن مواد غذایی سفت می تواند به دندان های کامپوزیت شده، آسیب وارد کند و آن ها را دچار سابیدگی نماید.
بعد از خوردن مواد غذایی مانند چای و قهوه و یا خوراکی های دارای مواد رنگی دندان های خود را مسواک کنیدد، زیرا کامپوزیت ها نیز خاصیت رنگ پذیری دارند و دچار تغییر رنگ می شوند.

آیا کامپوزیت عوارض دارد
این روش هم مانند هر روشی دیگری درعین حال که مزایا دارد و بسیار مفید و کاربردی است ممکن است مزیتها و عوارضی نیز داشته باشد. ازجمله عوارض کامپوزیت دندان عبارتند از:
بیشتر بخوانید: آیا جرمگیری دندان ضرر دارد؟
تغییر رنگ
کامپوزیتها در مقابل تغییر رنگ مقاوم نیستد و بعد از مدتی زرد میشوند. در صورت تغییر رنگ باید سالی یک یا دو مرتبه به دندانپزشک مراجعه نمایید.
حساس شدن دندان ها
بعد از کامپوزیت دندان دیدهشده که دندانها حساستر میشوند که این حالت بعد از طی مدت زمان کمیاز بین میرود.
شکننده بودن کامپوزیت
باتوجه به اینکه کامپوزیتها از رزین ساخته شده اند و رزین از آمالگام و سرامیک مقاومت کمتری دارد امکان شکستن آن تحت فشار زیاد وجود دارد. که در صورت شکستن یا لب پر شدن کامپوزیت با مراجعه به مطب امکان رفع این مشکل با کمترین هزینه وجود دارد.
منابع: باشگاه خبرنگاران- نمناک- موج نیوز- بیتوته
12jav.net