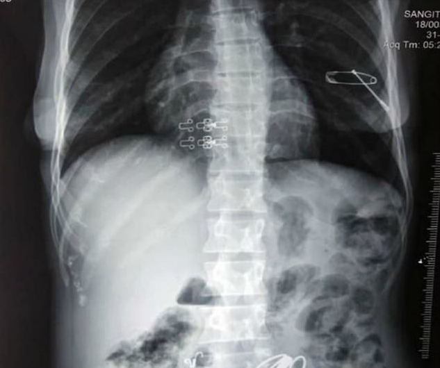
خروج بیش از ۱.۵ کیلو اشیا فلزی از معده یک پیرزن
زنی که یک کیلو و نیم کیلوگرم انواع فلزات و اشیا را بلعیده بود، به کمک پزشکان از مرگ حتمی نجات پیدا کرد.
دوات آنلاین-زنی که یک کیلو و نیم کیلوگرم انواع فلزات و اشیا را بلعیده بود، به کمک پزشکان از مرگ حتمی نجات پیدا کرد.
جراحان هندی در یک عمل جراحی پیچیده بیش از یک و نیم کیلوگرم انواع اشیا بلعیده شده را از بدن یک زن هندی خارج کردند.

این اشیا شامل پیچ و مهرهها و جواهرات و سنجاق و طناب بود که در طی 3 ساعت جراحی از بدن این پیرزن خارج شد. تصاویر رادیوگرافی نشان میدهند که برخی از این اجسام نوک تیز به ریه این فرد نزدیک شده بودند.
یک پین نیز دیواره معده این زن هندی را سوراخ کرده بود که پزشکان را مجبور به جراحی اورژانسی کرد.

گفته میشود این زن به بیماری پیکا مبتلا است. این بیماری باعث اشتهای فرد به چیزهایی مثل خاک ، سنگ ، خاکستر سیگار، یخ یا حتی مو و فلزات می شود.
تصور میشود این بیماری با کمبودهای غذایی مرتبط باشد و با مکملهای غذایی درمان میشود. البته کمبودهای تغذیهای فقط یکی از تئوری های زیادی است که درباره پیکا مطرح است و دلایل دقیق آن ناشناخته است. این سندرم همچنین در بیماران صدمه دیده از لحاظ مغزی و بیماران روانی دیده میشود.
پیکا میتواند خطرناک باشد، چرا که ممکن است آنها اشیای تیز را ببلعند و باعث پارگی اعضای داخلی بدن و آسیب جدی به اندام های حیاتی بشود.
12jav.net